THE ROLE OF DYNAMIC BREAST MRI IN PREDICTING PATHOLOGIC RESPONSE OF MASS BREAST CANCERS WITH PLACED MARKER PRIOR TO NEOADJUVANT CHEMOTHERAPY

GANİME DİLEK EMLİK, FAHRİYE KILINÇ, NECDET POYRAZ, MURAT ARAZ, ESRA HACILAR, Abdullah Enes Ataş, Şeyma Ünüvar, hüseyin Ünüvar

  •  Year : 2026
  •  Vol : 6
  •  Issue : 1
  •  Page : 8-18
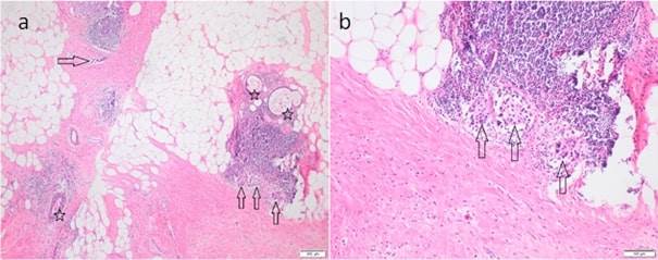
Objective: This study investigated the ability of dynamic breast magnetic resonance imaging (MRI) to predict pathological complete response (pCR) after neoadjuvant chemotherapy (NACT) in locally advanced breast cancer with marker placement and compared MRI findings with the gold standard postoperative pathology. Methods: We retrospectively evaluated Dynamic Contrast-Enhanced MRI exams of 85 breast masses in 71 NACT patients with ultrasonography-guided marker placement (2020-2023). Two radiologists, blinded to pathology, assessed the radiologic treatment response (rR) on MRI using RECIST 1.1. Pathological evaluation defined pCR as absence of invasive carcinoma. Statistical analysis provided Kappa, sensitivity, specificity, PPV, and NPV. Results: Post-NACT MRI showed 52.9% radiological complete responce (rCR), while pathology confirmed 45.2% pCR. Strong concordance between rR and pR was observed (p <0.001, ĸ = 0.740). MRI’s diagnostic performance yielded 80% sensitivity, 94.7% specificity, 95% positive predictive value (PPV) and 80% negative predictive value (NPV). False negatives related to microscopic tumors, docetaxel effects, artifacts, low histological grade, and luminal subtype. False positives linked to HER2 positivity, granulation, and fibrosis. Conclusion: MRI effectively correlates with pR post-NACT in marker-placed breast cancers, showing high specificity. For patients with MRI-evaluated complete response, pCR might be confirmed non-surgically by vacuum-assisted biopsy, though larger, long-term studies are needed for validation.
Cite this Article As :

Description : Yazarların hiçbiri, bu makalede bahsedilen herhangi bir ürün, aygıt veya ilaç ile ilgili maddi çıkar ilişkisine sahip değildir. Araştırma, herhangi bir dış organizasyon tarafından desteklenmedi.Yazarlar çalışmanın birincil verilerine tam erişim izni vermek ve derginin talep ettiği takdirde verileri incelemesine izin vermeyi kabul etmektedirler. None of the authors, any product mentioned in this article, does not have a material interest in the device or drug. Research, not supported by any external organization. grant full access to the primary data and, if requested by the magazine they agree to allow the examination of data.
THE ROLE OF DYNAMIC BREAST MRI IN PREDICTING PATHOLOGIC RESPONSE OF MASS BREAST CANCERS WITH PLACED MARKER PRIOR TO NEOADJUVANT CHEMOTHERAPY, Research Article,
, Vol. 6 (1)
Received : 15.11.2025, Accepted : 12.12.2025 , Published Online : 08.04.2026
Mevlana Tıp Bilimleri
ISSN: ;
E-ISSN: 2757-976X ;
index index index