MALIGNANT PARAGANGLIOMA WITH LYMPH NODE METASTASIS

AYBALA NUR ÜÇGÜL, MÜGE AKMANSU

  •  Year : 2021
  •  Vol : 1
  •  Issue : 3
  •  Page : 101-104

ABSTRACT

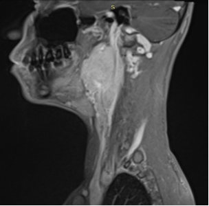
Paragangliomas are rarely seen neural crest-derived tumors. They mostly present in carotid bifurcation. %10 of cases are familial. Familial paragangliomas generally occur at a younger age and bilaterally. Paragangliomas are often slow-growing, asymptomatic cases. In patients with symptoms, swelling of the neck, dysphagia, odynophagia are most common. Physical examination of patients with carotid-based paraganglioma reveals an insensitive mass in front of SCM (fountain sign). Although they are mostly benign, they can become malignant if they make metastasize. Multidisciplinary approach is important in these patients. While the main treatment is surgery, radiotherapy can be applied in metastatic disease, inoperable patients or patients who have positive surgical margins. In this article, 2 different paranganglioma cases with lymph node metastasis are discussed. In both cases, regional radiotherapy was administered after the surgery.

Key words: Paraganglioma, carotid body tumor, lymphatic metastasis, radiotherapy

Cite this Article As : Üçgül AN, Akmansu M. Lenf Nodu Metastazlı Malign Paragangliom. Mev Med Sci. 2021;1(3): 101-104

Description : Yazarların hiçbiri, bu makalede bahsedilen herhangi bir ürün, aygıt veya ilaç ile ilgili maddi çıkar ilişkisine sahip değildir. Araştırma, herhangi bir dış organizasyon tarafından desteklenmedi.Yazarlar çalışmanın birincil verilerine tam erişim izni vermek ve derginin talep ettiği takdirde verileri incelemesine izin vermeyi kabul etmektedirler. None of the authors, any product mentioned in this article, does not have a material interest in the device or drug. Research, not supported by any external organization. grant full access to the primary data and, if requested by the magazine they agree to allow the examination of data.
MALIGNANT PARAGANGLIOMA WITH LYMPH NODE METASTASIS, Case Report,
, Vol. 1 (3)
Received : 21.06.2021, Accepted : 21.09.2021 , Published Online : 23.12.2021
Mevlana Tıp Bilimleri
ISSN: ;
E-ISSN: 2757-976X ;
index index index