PARATESTİKÜLER BÖLGEDE BEKLENMEYEN DOKU: DALAK

İLKNUR KÜÇÜKOSMANOĞLU, CANAN KOCAOĞLU

  •  Yıl : 2023
  •  Cilt : 3
  •  Sayı : 3
  •  Sayfa : 143-146
ÖZET
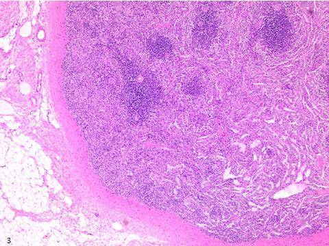
Splenogonadal füzyon (SGF), dalak ve gonadın füzyonu ile karakterize nadir görülen bir konjenital anomalidir. Bildirilen vakaların çoğu, dalak dokusu testis içinde kitle veya paratestiküler kitle şeklinde olan erkeklerdir. SGF tipik olarak sol taraflı skrotal şişlik, sol inguinal herni, skrotal kitle veya kriptorşidizm olarak kendini gösterir. Bu yazıda sol inguinal herni, sağ ve sol inmemiş testisleri olan 8 yaşında erkek hastada ultrasonografide(USG) saptanan ancak karakterize edilemeyen splenogonadal füzyon olgusu sunuldu. SGF'nin preoperatif tanısı genellikle zordur. Çoğu cerrah, eksik malignite cerrahisi riskini azaltmak için radikal tedaviyi seçer. Ürologların ve özellikle pediatrik cerrahların gereksiz, yaşamı değiştiren radikal orşiektomiden kaçınma konusundaki farkındalığı, gelecekteki vakalarda testis koruyucu cerrahiyi mümkün kılabilir.
Atıf yapmak için : Küçükosmanoğlu İ, Kocaoğlu C. Unexpected Tissue in The Paratesticular Region: Spleen. Mev Med Sci. 2023;3(3): 143-146

Açıklama : Yazarların hiçbiri, bu makalede bahsedilen herhangi bir ürün, aygıt veya ilaç ile ilgili maddi çıkar ilişkisine sahip değildir. Araştırma, herhangi bir dış organizasyon tarafından desteklenmedi.Yazarlar çalışmanın birincil verilerine tam erişim izni vermek ve derginin talep ettiği takdirde verileri incelemesine izin vermeyi kabul etmektedirler. None of the authors, any product mentioned in this article, does not have a material interest in the device or drug. Research, not supported by any external organization. grant full access to the primary data and, if requested by the magazine they agree to allow the examination of data.
PARATESTİKÜLER BÖLGEDE BEKLENMEYEN DOKU: DALAK, Olgu Sunumu,
, Vol. 3 (3)
Geliş Tarihi : 30.05.2023, Kabul Tarihi : 25.10.2023 , Yayın Tarihi : 12.12.2023
Mevlana Tıp Bilimleri
ISSN: ;
E-ISSN: 2757-976X ;
index index index